Ao: aorta; L: liver; P: pancreas; Sma: superior mesenteric artery; Yellow arrows: antrum

Ao: aorta; L: liver; P: pancreas; Sma: superior mesenteric artery; Yellow arrows: antrum
IVC: inferior vena cava; L: liver; P: pancreas; Sma: superior mesenteric artery; Yellow arrows: antrum
A: antrum; Ao: aorta; L: liver; P: pancreas; Sma: superior mesenteric artery
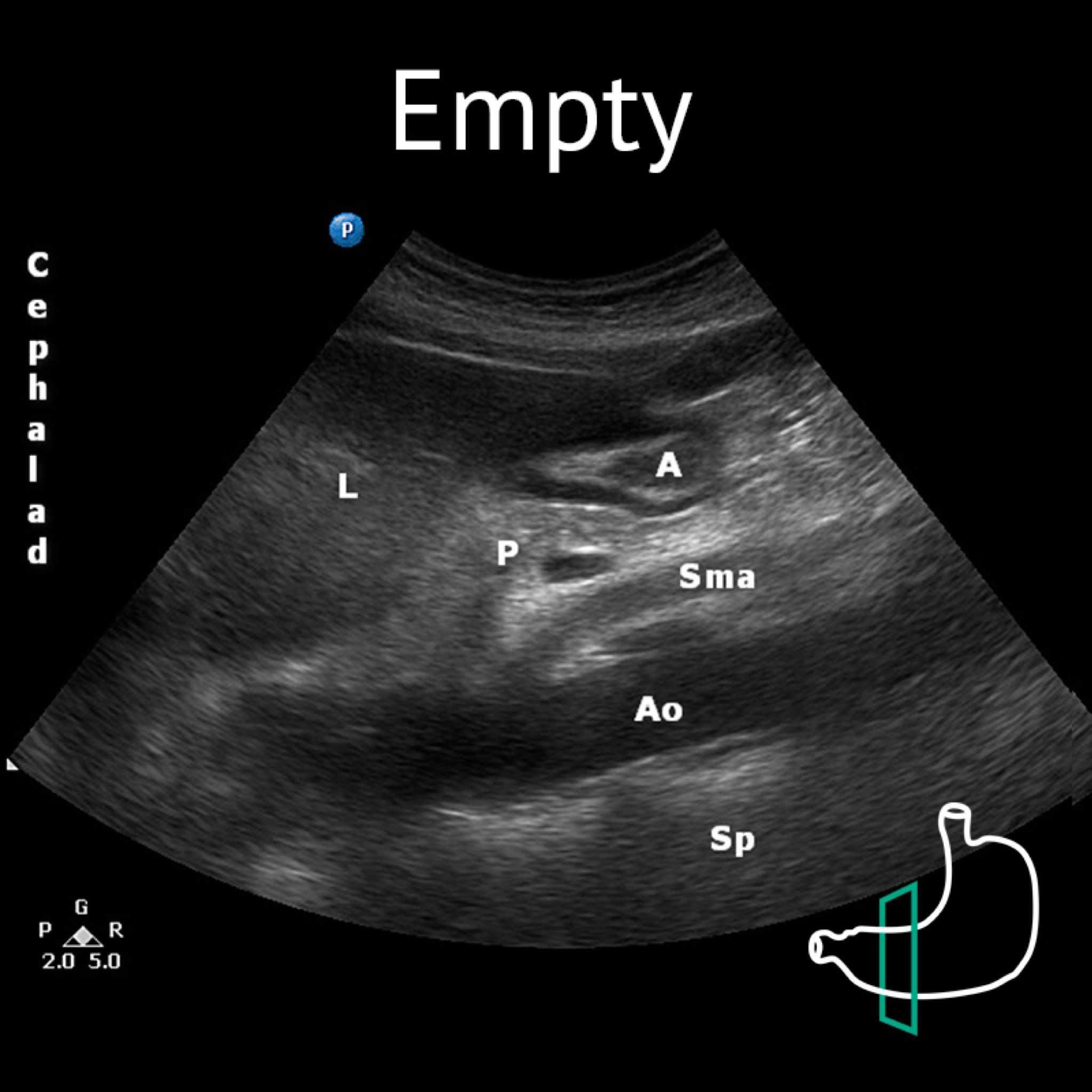
Ao: aorta; L: liver; P: pancreas; Sma: superior mesenteric artery; Sp: spine Yellow arrows: antrum
Ao: aorta; L: liver; P: pancreas; Sma: superior mesenteric artery; Sp: spine; Yellow arrows: antrum
A: antrum; Ao: aorta; L: liver; P: pancreas; Sma: superior mesenteric artery; Sp: spine
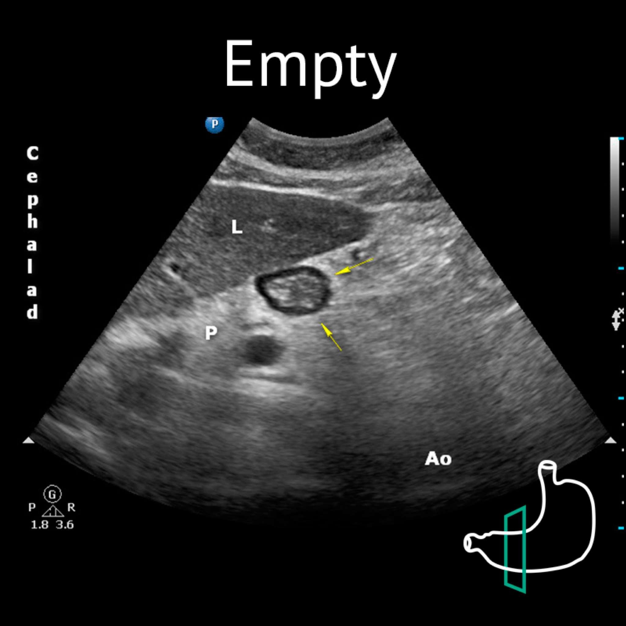
Ao: aorta; L: liver; P: pancreas; Yellow arrows: antrum
A: antrum; Ao: aorta; L: liver; P: pancreas; Sma: superior mesenteric artery
Af: amniotic fluid; B: baby; L: liver; Yellow arrows: antrum
A: antrum; Ao: aorta; L: liver; P: pancreas; Sma: superior mesenteric artery
L: liver; Yellow arrows: antrum
A: antrum; Ao: aorta; L: liver; P: pancreas; Sma: superior mesenteric artery
Ao: aorta; L: liver; Sma: superior mesenteric artery; Sp: spine Yellow arrows: antrum
A: antrum; Ao:aorta; L: liver; P: pancreas
A: antrum; Ao: Aorta; L: liver; P: pancreas; Sma: superior mesenteric artery
A: antrum; L: liver; IVC: inferior vena cava
A: antrum; L: liver
A: antrum; L: liver
Cm: curdled milk; L: liver; P: pancreas
L: liver; P: pancreas; * clear fluid; ** curdled milk
A: antrum; L: liver
A: antrum; Ao: aorta; L: liver; Sma: superior mesenteric artery
A: antrum; Ao: aorta; L: Liver; Sma: superior mesenteric artery
A: antrum; Ao: aorta; L: liver; P: pancreas; Sma: superior mesenteric artery; Sp: spine
A: antrum; Ao: aorta; L: liver; P: pancreas; Sp: spine
L: liver; U: uterus; Yellow arrows: antrum
A: antrum; Ao: aorta; L: liver; P: pancreas; Sma: superior mesenteric artery
A: antrum; Ao: aorta; L: liver; Sma: superior mesenteric artery; * clear fluid